Dr. Shubham Parmar
π Qualification β MDS β Prosthodontics and Implantology
π Pune | Mumbai
Professional Details
π₯ Dr. Shubham Parmar MDS β Prosthodontics and Implantology: π€ Availability: Consultation & Long-Term Clinic Attachment
πΌ Experience: 1.5+ Years
π Qualification:BDS, MDS β Prosthodontics and Implantology
π Professional Overview
Dr. Shubham Parmar is a dynamic and detail-oriented Prosthodontist and Implantologist, committed to delivering precision-driven, high-quality restorative and implant dentistry. A graduate of Rural Dental College, Loni (Pravara Institute of Medical Sciences), he combines strong academic training with a modern, protocol-based clinical approach.
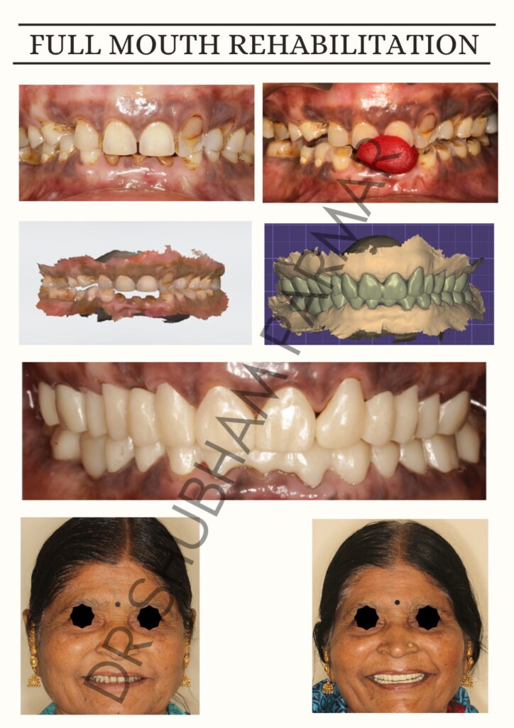
With 1.5 years of focused clinical experience, Dr. Shubham has developed expertise in implantology and full mouth rehabilitation, managing both routine and complex prosthodontic cases with a focus on function, aesthetics, and long-term stability. His approach is rooted in prosthetically driven implant planning, ensuring optimal outcomes from surgical placement to final prosthesis.
He is particularly skilled in full-arch implant solutions (All-on-4 / All-on-6), management of implant complications, and rehabilitation of failed cases, offering predictable and structured solutions even in challenging scenarios. Known for his strong case presentation skills and patient-centric communication, he consistently contributes to improved case acceptance and clinical success.
Dr. Shubham actively collaborates with dental clinics for consultations and long-term attachments, bringing not just clinical expertise but also a growth-oriented mindset that supports practice development and reputation building.
π Location: Pune | Mumbai
π Open To: Pune Kharadi | Keshavnagar | Hadapsar | Lohegaon | Viman Nagar | Wagholi | Vadgaon Sheri | Mundhwa | Koregaon Park | Bund garden | Camp | Magarpatta | Kalyani Nagar | Manjri | Yerwada | Chandan Nagar | Fatima Nagar | Handewadi | Wanowrie | & Mumbai
Services Offered
-
β CLINICAL EXPERTISE
- Implantology β Precision-driven placement with prosthetically guided protocols
- Full Mouth Rehabilitation (FMR) β Comprehensive functional & aesthetic reconstruction of complex cases
- All-on-4 / All-on-6 Solutions β Immediate loading, full-arch transformations with predictable outcomes
- Full Mouth Implant Prosthetics β From planning to final prosthesis with long-term stability focus
- Implant Complication & Revision Expertise β Diagnosis and management of screw fracture, failed implants & prosthetic complications with predictable salvage protocols
- Smile Designing & Aesthetic Dentistry β Digitally planned, face-driven smile transformations
- Complete Dentures (CD) β Conventional, Immediate, Characterized dentures, Overdentures made with precision and focus on function, esthetics & patient adaptation
- Removable Partial Dentures (RPD) β biomechanical precision and long-term stability
- Cast Partial Dentures – made with digital protocol with DMLS for precise fit and function
- Complex Prosthodontics β Crown & bridge work with emphasis on occlusion, longevity & biomechanics
- Rehabilitation of Failed Cases
- Advanced case planning & execution
- Evidence-based and ethical practice
π AT A GLANCE
| NAME: Dr. Shubham Parmar |
| QUALIFICATION: MDS β Prosthodontics and Implantology |
| CONTACT INFORMATION: +919730850036 |
| WORKING CITY: Pune | Mumbai |

| Details: β¨ MDS CONSULTANT AVAILABLE β¨ For Consultation & Long-Term Clinic Attachment Dr. Shubham Parmar MDS β Prosthodontics and Implantology π Location: Pune π Contact: 9730850036 π AT A GLANCE Name: Dr. Shubham Parmar Qualification: BDS, MDS β Prosthodontics & Implantology College/University: Rural Dental College, Loni. Pravara Institute of Medical Sciences π― Experience: 1.5 Years of Clinical Excellence π€ Availability: Consultation & Long-Term Clinic Attachment π Open To: Pune Kharadi | Keshavnagar | Hadapsar | Lohegaon | Viman Nagar | Wagholi | Vadgaon Sheri | Mundhwa | Koregaon Park | Bund garden | Camp | Magarpatta | Kalyani Nagar | Manjri | Yerwada | Chandan Nagar | Fatima Nagar | Handewadi | Wanowrie | & Mumbai β CLINICAL EXPERTISE β Implantology β Precision-driven placement with prosthetically guided protocols β Full Mouth Rehabilitation (FMR) β Comprehensive functional & aesthetic reconstruction of complex cases β All-on-4 / All-on-6 Solutions β Immediate loading, full-arch transformations with predictable outcomes β Full Mouth Implant Prosthetics β From planning to final prosthesis with long-term stability focus β Implant Complication & Revision Expertise β Diagnosis and management of screw fracture, failed implants & prosthetic complications with predictable salvage protocols β Smile Designing & Aesthetic Dentistry β Digitally planned, face-driven smile transformations β Complete Dentures (CD) β Conventional, Immediate, Characterized dentures, Overdentures made with precision and focus on function, esthetics & patient adaptation β Removable Partial Dentures (RPD) β biomechanical precision and long-term stability β Cast Partial Dentures – made with digital protocol with DMLS for precise fit and function β Complex Prosthodontics β Crown & bridge work with emphasis on occlusion, longevity & biomechanics β Rehabilitation of Failed Cases β Advanced case planning & execution β Evidence-based and ethical practice π€ THE VALUE ADD β High-Value Case Conversion β Strong chair-side communication to convert complex treatment plans into accepted cases β Predictable Clinical Outcomes β Structured protocols that minimize complications and build long-term patient trust β Time-Efficient Workflow β Optimized treatment planning & execution to reduce chair time without compromising quality β Ownership Mindset β Works as a growth partner, not just a visiting consultant β Patient Retention & Follow-Up Systems β Ensuring continuity of care and repeat value for the clinic β Seamless Team Integration β Easy coordination with in-house doctors & staff for smooth case execution β Reputation Building π³ GET IN TOUCH π² Call / WhatsApp: 9730850036 π Available for clinics in Pune Kharadi | Keshavnagar | Hadapsar | Lohegaon | Viman Nagar | Wagholi | Vadgaon Sheri | Mundhwa | Koregaon Park | Bund garden | Camp | Magarpatta | Kalyani Nagar | Manjri | Yerwada | Chandan Nagar | Fatima Nagar | Handewadi | Wanowrie | & Mumbai β¨Open for consultations and clinical collaborations β WhatsApp or call to discuss cases or schedule a visit.c |

Full Mouth Implants

Full Mouth Rehabilitation

Smile Designing
Thank you for visiting my profile.
I am committed to providing quality care and welcome consultations, referrals, and collaborative opportunities.
