Dr. Shruti Dhimte
🎓 Education :- BDS – Daswani Dental College, Kota, Rajasthan
MDS (Periodontology) – Bharati Vidyapeeth (Deemed to be University), Pune
📜 Certifications
Associate Fellow – AALT (Academy of Laser Therapy), Singapore Laser Certification in Dental Applications | Implantologist | Laser Specialist
👩🎓 University Rank Holder 🥇 Gold Medalist
⚙️ Advanced Clinical Expertise Owns and operates a dental diode laser unit
📍 Vasai | Virar | Mumbai (Western Line)
Professional Details
🏥 🌍For Consultation And Clinic Attachment: Open To Vasai | Virar | Mumbai (Western Line) :
🌟 PROFESSIONAL OVERVIEW ⭐
Dr. Shruti Dhimte is a highly accomplished MDS Periodontist, Implantologist, and Laser Specialist, known for delivering advanced, patient-centered periodontal and implant care. A University Rank Holder and Gold Medalist, she combines strong academic excellence with refined clinical expertise.
With specialized training from Bharati Vidyapeeth (Deemed to be University), Pune, and international certification from the Academy of Laser Therapy (Singapore), Dr. Dhimte is proficient in modern, evidence-based treatment protocols. She integrates cutting-edge technologies, including dental diode laser therapy, to provide minimally invasive, precise, and comfortable treatment outcomes.
Her clinical expertise spans comprehensive gum therapy, regenerative periodontal procedures, implant dentistry, and laser-assisted treatments, with a focus on both functional rehabilitation and esthetic enhancement. Known for her meticulous approach and gentle care, she is committed to improving oral health while ensuring patient comfort and long-term results.
Dr. Dhimte is available for consultations across Mumbai (Western Line), Vasai, and Virar, and is open to collaborative clinical practice and advanced treatment referrals.
💼 Experience: 3+ Years
🎓 Qualification:
🎓 Education BDS – Daswani Dental College, Kota, Rajasthan
MDS (Periodontology) – Bharati Vidyapeeth (Deemed to be University), Pune
📜 Certifications
Associate Fellow – AALT (Academy of Laser Therapy), Singapore Laser Certification in Dental Applications | Implantologist | Laser Specialist
📍 Location: Vasai | Virar | Mumbai (Western Line)
Services Offered
-
✅ Clinical Expertise
🦷 Periodontal (Gum) Therapy
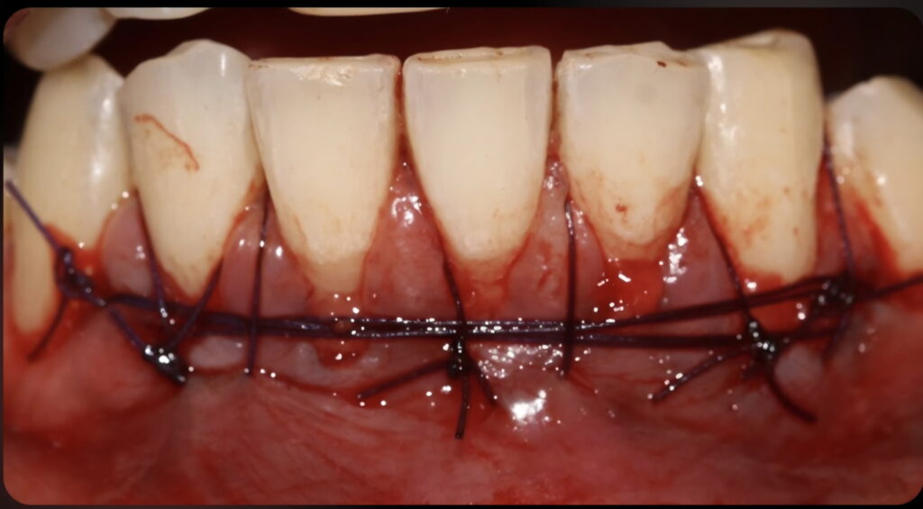
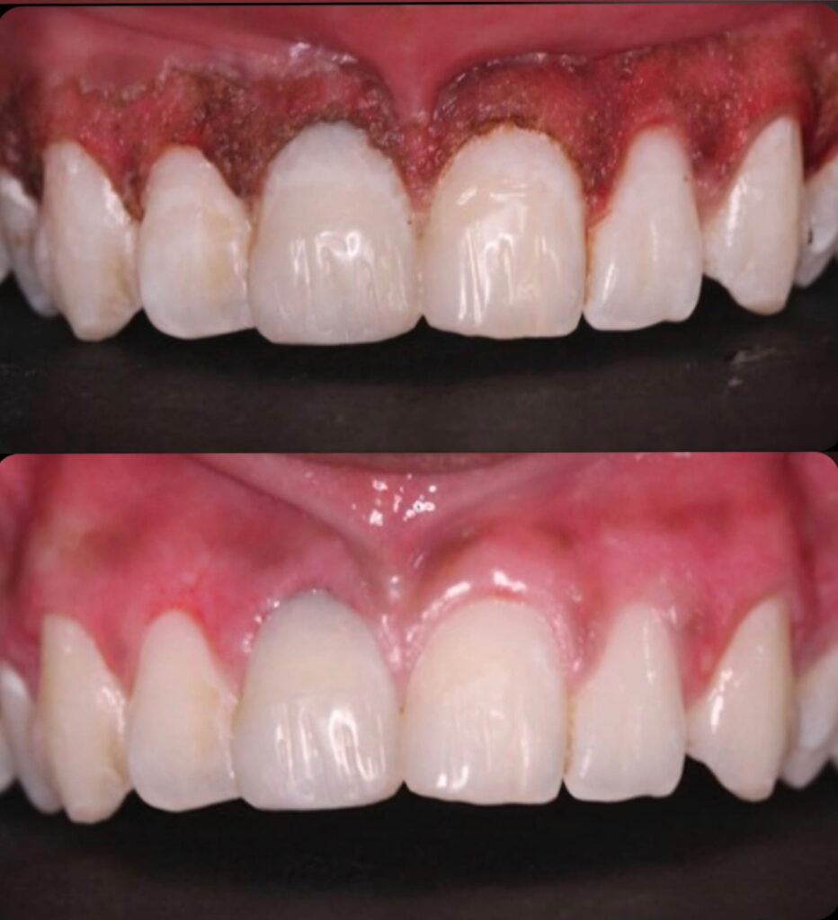
✔️Scaling & Root Planing (Deep Cleaning) ✔️Local Drug Delivery ✔️Gingivectomy & Frenectomy ✔️Gingival Depigmentation ✔️Canine Exposure & Accelerated Orthodontics ✔️Crown Lengthening (Conventional & Esthetic) ✔️Flap Surgery ✔️Regenerative Surgeries ✔️Recession Coverage ✔️Apicoectomy ✔️Hemisection ✔️Guided Bone & Tissue Regeneration (GBR/GTR)
🦷 Dental Implants
✔️Single & Multiple Implant Placement (Immediate & Delayed) ✔️All-on-4 / Full Mouth Rehabilitation ✔️Bone Augmentation & Grafting (Socket Preservation) ✔️Implant Maintenance & Peri-implantitis Management
🦷 Laser & Advanced Procedures
✔️Laser Gingivectomy & Frenectomy ✔️Gingival Depigmentation ✔️Teeth whitening ✔️Laser-Assisted Canine Exposure ✔️Pain Therapy ✔️Periodontal Pocket Reduction Therapy
💎 AT A GLANCE
| NAME: Dr. Shruti Dhimte |
| QUALIFICATION: 🎓 Education BDS – Daswani Dental College, Kota, Rajasthan MDS (Periodontology) – Bharati Vidyapeeth (Deemed to be University), Pune 📜 Certifications Associate Fellow – AALT (Academy of Laser Therapy), Singapore Laser Certification in Dental Applications |
| CONTACT INFORMATION: 📞 Contact Call: +91 7021157176 WhatsApp: +917021157176 Email: dr.shrutidhimte.periodontist@gmail.com |
| WORKING CITY: Vasai | Virar | Mumbai (Western Line) |
| DETAILS: |

Name: Dr. Shruti Dhimte
Qualification: 🎓 Education
BDS – Daswani Dental College, Kota, Rajasthan
MDS (Periodontology) – Bharati Vidyapeeth (Deemed to be University), Pune
📜 Certifications
Associate Fellow – AALT (Academy of Laser Therapy), Singapore
Laser Certification in Dental Applications
City: Vasai | Virar | Mumbai (Western Line)
| 👩⚕️ Dr. Shruti Dhimte 🎓 BDS, MDS – Periodontist | Implantologist | Laser Specialist 👩🎓 University Rank Holder 🥇 Gold Medalist 🎓 Education BDS – Daswani Dental College, Kota, Rajasthan MDS (Periodontology) – Bharati Vidyapeeth (Deemed to be University), Pune 📜 Certifications Associate Fellow – AALT (Academy of Laser Therapy), Singapore Laser Certification in Dental Applications ⚙️ Advanced Clinical Expertise Owns and operates a dental diode laser unit 🤝 Availability Consultation Available 🌍 Open To Vasai | Virar | Mumbai (Western Line) ✅ Clinical Expertise 🦷 Periodontal (Gum) Therapy Scaling & Root Planing (Deep Cleaning) Local Drug Delivery Gingivectomy & Frenectomy Gingival Depigmentation Canine Exposure & Accelerated Orthodontics Crown Lengthening (Conventional & Esthetic) Flap Surgery Regenerative Surgeries Recession Coverage Apicoectomy Hemisection Guided Bone & Tissue Regeneration (GBR/GTR) 🦷 Dental Implants Single & Multiple Implant Placement (Immediate & Delayed) All-on-4 / Full Mouth Rehabilitation Bone Augmentation & Grafting (Socket Preservation) Implant Maintenance & Peri-implantitis Management 🦷 Laser & Advanced Procedures Laser Gingivectomy & Frenectomy Gingival Depigmentation Teeth whitening Laser-Assisted Canine Exposure Pain Therapy Periodontal Pocket Reduction Therapy 📞 Contact Call: +91 7021157176 WhatsApp: +917021157176 Email: dr.shrutidhimte.periodontist@gmail.com |

Advance Periodontal Surgeries

Depigmentation

Implant Surgeries
Thank you for visiting my profile.
I am committed to providing quality care and welcome consultations, referrals, and collaborative opportunities.
