Dr. Neelanjana Majee
🎓 Qualification – MDS – Conservative Dentistry & Endodontics
📍 Mumbai
Professional Details
🏥 Dr. Neelanjana Majee MDS – Conservative Dentistry & Endodontics:Available for On-Call Consultation And Clinic Attachments
💼 Experience: 3+ Years
🎓 Qualification: BDS, MDS – Conservative Dentistry & Endodontics
📝 Professional Overview
Dr. Neelanjana Majee is a highly skilled MDS specialist in Conservative Dentistry & Endodontics, offering expertise in advanced endodontic procedures and comprehensive dental care. With a strong clinical focus on precision, patient comfort, and long-term treatment success, she is proficient in performing single and multi-visit root canal treatments, re-treatments, and endodontic surgical procedures, including micro-endodontics.
Her scope of practice also includes esthetic dentistry, biomimetic restorative techniques, and prosthodontic procedures such as crowns, endocrowns, and fixed/removable prostheses. Known for her meticulous approach and evidence-based practice, Dr. Majee ensures high-quality outcomes across both routine and complex cases.
She is available as an Associate Dentist and On-Call Consultant across Mumbai, providing reliable clinical support, second opinions, and emergency guidance to dental clinics seeking dependable specialist care.
📍 Location: Mumbai
Services Offered
-
💼 Clinical Expertise
✔ Single & Multi-Visit Root Canal Treatments ✔ Re-Treatments (Surgical & Non-Surgical) ✔ Endodontic Surgical Procedures ✔ Micro-Endodontics ✔ Esthetic Dentistry – Veneers, Anterior & Posterior Composites ✔ Prosthodontics – Crown Preparations, Endocrowns, FPDs, CD, RPD ✔ Biomimetic Restorative Dentistry ✔ Post & Core ✔ Simple & Surgical Extractions
💎 AT A GLANCE
| NAME: Dr. Neelanjana Majee |
| QUALIFICATION: MDS – Conservative Dentistry & Endodontics |
| CONTACT INFORMATION: +919833362629 |
| WORKING CITY: Mumbai |
| DETAILS: |

Name: Dr. Neelanjana Majee
Qualification: MDS – Conservative Dentistry & Endodontics
City: Mumbai & nearby areas
| Details: 🌟 Endodontist available for On-Call Consultant 🌟 🦷 Experienced Endodontist available for consultation services and long-term clinic attachment as an Associate Dentist across Mumbai City & surrounding areas. 👩⚕️ Dr. Neelanjana Majee MDS – Conservative Dentistry & Endodontics 📞 Contact: +919833362629 🔹 Profile Highlights Highly skilled in advanced endodontics, esthetic dentistry, and comprehensive general dental care, with a strong emphasis on precision, patient comfort, and long-term clinical success. 📍 Practice Availability 🔹 Consultation: All over Mumbai & nearby areas 🔹 Associate Dentist Position: All over Mumbai & nearby areas 🕘 Availability ⏰ 8:00 AM – 8:00 PM ✔ Saturdays available 💼 Clinical Expertise ✔ Single & Multi-Visit Root Canal Treatments ✔ Re-Treatments (Surgical & Non-Surgical) ✔ Endodontic Surgical Procedures ✔ Micro-Endodontics ✔ Esthetic Dentistry – Veneers, Anterior & Posterior Composites ✔ Prosthodontics – Crown Preparations, Endocrowns, FPDs, CD, RPD ✔ Biomimetic Restorative Dentistry ✔ Post & Core ✔ Simple & Surgical Extractions 🏥 Clinics with suitable vacancies in Mumbai City are kindly requested to connect directly using the details below ⬇️ 📞 Contact: 98333 62629 🆘 Please save this number for expert consultation, second opinions, emergency guidance, and clinical troubleshooting in your dental clinic. ✨ Dr. Neelanjana Majee MDS – Conservative Dentistry & Endodontics |

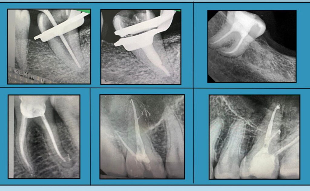
Root Canal Treatment

Root Canal Treatment

Root Canal Treatment
Thank you for visiting my profile.
I am committed to providing quality care and welcome consultations, referrals, and collaborative opportunities.
