Dr.Meghna Agarwal
π Qualification β MDS β PROSTHODONTICS CROWN AND BRIDGE AND IMPLANTOLOGY
π Gold medalist in MUHS Maharashtra
π Mumbai | Suburbs | Navi Mumbai. π Location: Charni road
Cp tank circle
Professional Details
π₯ Dr.Meghna Agarwal: β¨ MDS CONSULTANT AVAILABLE β¨ For Consultation & Long-Term Clinic Attachment
πΌ Experience: 3+ Years
π Qualification: BDS, MDS β PROSTHODONTICS CROWN AND BRIDGE AND IMPLANTOLOGY
π Gold medalist in MUHS Maharashtra
π Awards & Key Achievements
Professional Overview
Dr. Meghna Agarwal is a highly accomplished Prosthodontist and Implantologist with a strong academic foundation and advanced clinical expertise in restorative and rehabilitative dentistry. A Gold Medalist from MUHS, Maharashtra, she has consistently demonstrated excellence in both academics and clinical practice.
With over 3 years of clinical experience, Dr. Agarwal has built a strong portfolio in implant dentistry, full mouth rehabilitation, and complex prosthodontic cases. Her clinical approach focuses on precision, aesthetics, and long-term functional outcomes, ensuring high levels of patient satisfaction.
She is actively engaged in research and academics, with multiple first-author publications and recognized contributions at national and state conferences. Her ability to integrate evidence-based dentistry with advanced treatment planning enables efficient and predictable management of complex cases.
Known for her strong patient communication, ethical practice, and efficient chair-side skills, Dr. Agarwal adds significant value to clinical setups by enhancing treatment acceptance, optimizing workflow, and contributing to overall practice growth.
Her commitment to quality care, continuous learning, and excellence in execution makes her a reliable and growth-oriented consultant for modern dental practices.
π Location: Mumbai
π Location: Mumbai | Suburbs | Navi Mumbai.
Services Offered
-
β CLINICAL EXPERTISE
- Implant Dentistry & Prosthetic Rehabilitation
- Full Mouth Rehabilitation
- Maxillofacial Prosthesis
- Complete & Partial Dentures
- Crown & Bridge Work
- Aesthetic & Restorative Dentistry
- Diagnosis & Treatment Planning
- Patient Handling & Communication
- Research Writing & Clinical Documentation
- Advanced case planning & execution
- Evidence-based and ethical practic
π AT A GLANCE
| NAME: Dr.Meghna Agarwal |
| QUALIFICATION: MDS β PROSTHODONTICS CROWN AND BRIDGE AND IMPLANTOLOGY Gold medalist in MUHS Maharashtra |
| CONTACT INFORMATION: +918291999387 |
| WORKING CITY: Mumbai | Suburbs | Navi Mumbai. |

| β¨ MDS CONSULTANT AVAILABLE β¨ For Consultation & Long-Term Clinic Attachment Dr.Meghna Agarwal MDS β PROSTHODONTICS CROWN AND BRIDGE AND IMPLANTOLOGY Gold medalist in MUHS Maharashtra π Location: Charni road Cp tank circle Mumbai π Contact: 8291999387 π AT A GLANCE Name: Dr. Meghna Agarwal Qualification: BDS, MDS β Prosthodontist crown and Bridge and Implantology College/University: MDS β Prosthodontics, Crown and Bridge, & Implantology ACPM Dental College, Dhule (2025) BDS β Bachelor of Dental Surgery YMT Dental College, Kharghar, Navi Mumbai (2021) π― Experience: 3yrs of Clinical Experience π Awards & Achievements β255+ dental implants placed (MUHS record) β100+ complete dentures fabricated β15+ full mouth rehabilitation cases completed β5+ maxillofacial prostheses (eye & finger) First prize β Poster & paper presentations General Secretary β Undergraduate college Head Captain (Throwball) βFirst place in PhD β Final year BDS π-3 firstauthor research publications indexed in PubMed & Google Scholar πAwarded 50,000 MUHS research grant Presented research papers and posters at national and state conferences π€ Availability: Consultation & Long-Term Clinic Attachment π Open To: South Mumbai, sururbs, Navi Mumbai β CLINICAL EXPERTISE Implant Dentistry & Prosthetic Rehabilitation Full Mouth Rehabilitation Maxillofacial Prosthesis Complete & Partial Dentures Crown & Bridge Work Aesthetic & Restorative Dentistry Diagnosis & Treatment Planning Patient Handling & Communication Research Writing & Clinical Documentation Advanced case planning & execution Evidence-based and ethical practice π€ THE VALUE ADD β Focus on quality treatment with predictable outcomes β Efficient treatment mechanics to reduce chair time β Dedicated long-term patient follow-ups β Strong case communication & chair-side conversion skills β Commitment to clinic growth and reputation building π³ GET IN TOUCH π² Call / WhatsApp: 8291999387 Email- drmeghnaagarwal26@gmail.com π Available for clinics in Mumbai | Suburbs | Navi Mumbai. β¨ Kindly save this contact number for future case discussions and consultation visits at your clinic. |

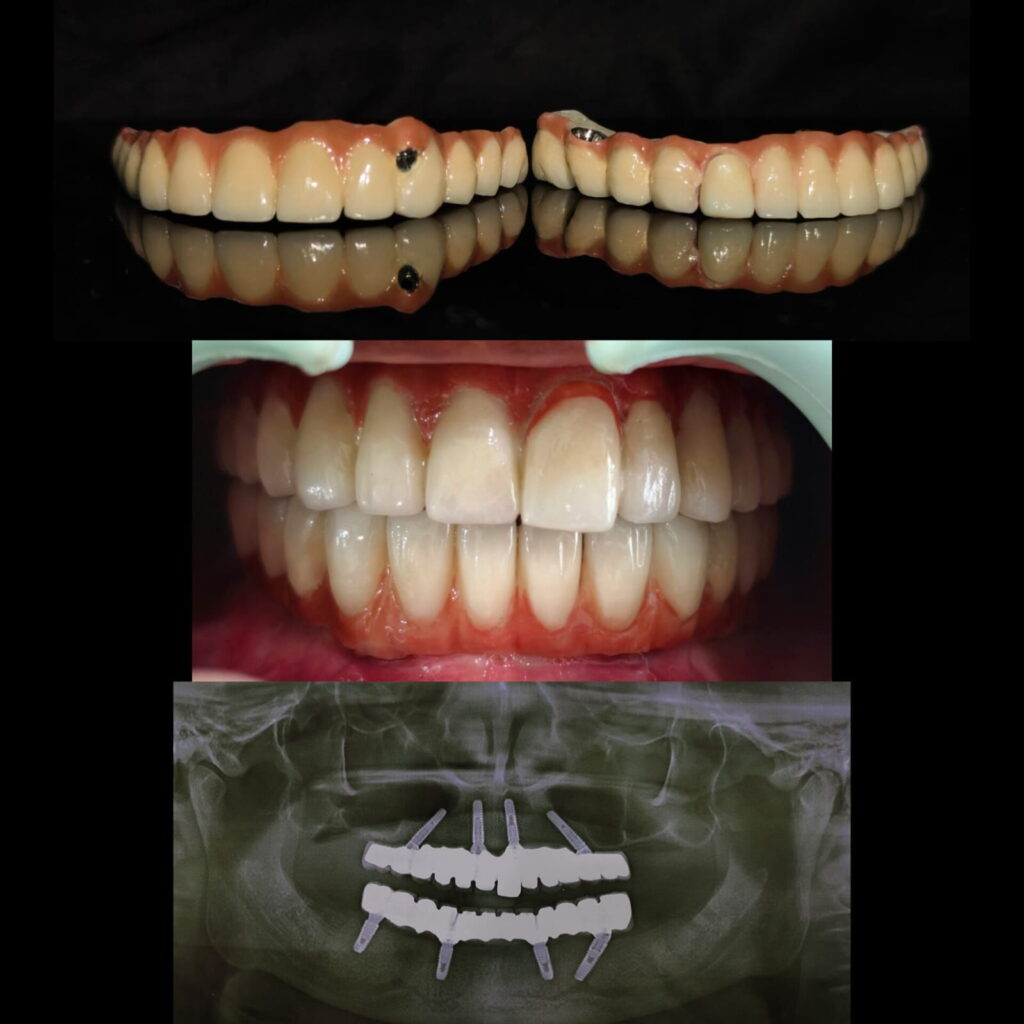
All on 4 full mouth rehabilitation case using Paulo malo guide

Full mouth rehabilitation of class 3 case with loss of vertical dimension

Implant supported overdenture case
Thank you for visiting my profile.
I am committed to providing quality care and welcome consultations, referrals, and collaborative opportunities.
