Dr. Balasubramaniam Shankar
π Qualification βMDS β Conservative Dentistry and Endodontics
π Former Assistant Professor β Government Dental College and Hospital, Mumbai
πWorking city : Mumbai
π Chief Dentist at The Tusk Dental Clinic, Chembur Mumbai
Professional Details
π₯ Dr. Balasubramaniam Shankar : The Tusk Dental Clinic in Chembur
β¨Micro – Endodontist is Available for consultations, appointments and referrals β¨
πΌ Experience: 2+ Years
π Qualification:MDS β Conservative Dentistry and Endodontics
π Former Assistant Professor β Government Dental College and Hospital, Mumbais
Professional Overview
Dr. Balasubramaniam Shankar is a dedicated and detail-oriented MDS specialist in Conservative Dentistry and Endodontics, trained at the prestigious Government Dental College and Hospital, Mumbai. With 2 years of focused clinical experience, he brings precision, patience, and a strong evidence-based approach to modern endodontic practice.
He has developed particular expertise in managing complex endodontic cases, including retreatments and the correction of iatrogenic errors and procedural mishaps. His clinical proficiency extends to the restoration of severely compromised teeth, ensuring both functional and aesthetic rehabilitation. Dr. Shankar is a firm advocate of advanced dental protocols, routinely incorporating rubber dam isolation and magnification techniques to enhance treatment accuracy, patient safety, and long-term outcomes.
Known for his calm clinical approach and commitment to excellence, he is open to consultations and collaborative practice opportunities across Mumbai and Navi Mumbai.
π Location: Mumbai
Services Offered
-
β CLINICAL EXPERTISE
- Endodontic retreatment
- Management of iatrogenic errors / mishaps
- Restoration of badly broken down teeth
- Rubber dam dentistry
- Magnification-assisted endodontics
- Advanced case planning & execution
- Evidence-based and ethical practice
π AT A GLANCE
| NAME: Dr. Balasubramaniam Shankar |
| QUALIFICATION: MDS β Conservative Dentistry and Endodontics |
| CONTACT INFORMATION: +919137765367 |
| WORKING CITY: Mumbai |

| Details: β¨ MDS CONSULTANT AVAILABLE β¨ For Consultation & Long-Term Clinic Attachment Dr. Balasubramaniam Shankar MDS β Conservative Dentistry and Endodontics π Location: Mumbai π Contact: +919137765367 π AT A GLANCE Name: Dr. Balasubramaniam Shankar Qualification: BDS, MDS β Conservative Dentistry and Endodontics College/University: Government Dental College and Hospital, Mumbai π― Experience: 2 Years of Clinical Excellence π€ Availability: Consultation & Long-Term Clinic Attachment π Open To: Mumbai & Navi Mumbai β CLINICAL EXPERTISE Endodontic retreatment Management of iatrogenic errors / mishaps Restoration of badly broken down teeth Rubber dam dentistry Magnification-assisted endodontics Advanced case planning & execution Evidence-based and ethical practice π€ THE VALUE ADD β Focus on quality treatment with predictable outcomes β Efficient treatment mechanics to reduce chair time β Dedicated long-term patient follow-ups β Strong case communication & chair-side conversion skills β Commitment to clinic growth and reputation building π³ GET IN TOUCH π² Call / WhatsApp: +919137765367 π Available for clinics in Mumbai & Navi Mumbai β¨ Kindly save this contact number for future case discussions and consultation visits at your clinic. |

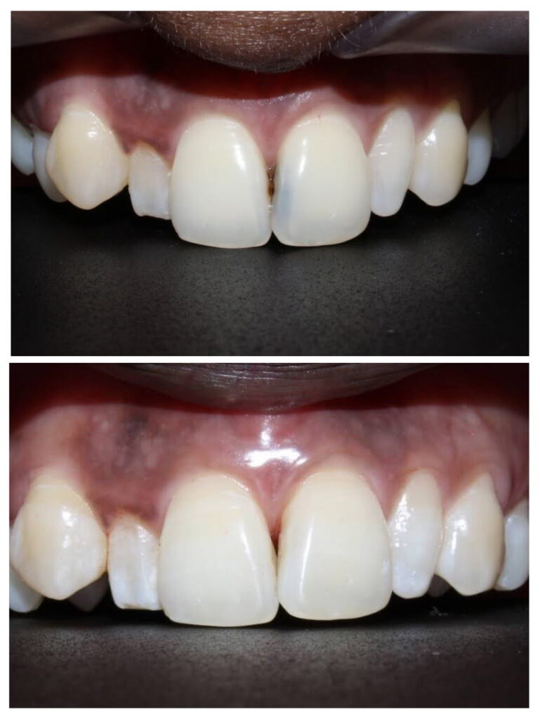
Root canal Treatment Using Microscope And latest instruments

Composite Restoration

Post and Core And Smile Designing
Thank you for visiting my profile.
I am committed to providing quality care and welcome consultations, referrals, and collaborative opportunities.
