Dr. Asad Mehmood
🎓 Qualification – BDS, MDS – Maxillofacial Prosthodontics
📍Mumbai | Navi Mumbai | Pune
Professional Details
🏥 ⭐ Visiting Prosthodontist and Implantologist Available for Consultation & Clinic Attachment :
👉 Location:- Mumbai | Navi Mumbai | Pune
💼 Experience: 6+ Years
🎓 Qualification: BDS, MDS – Maxillofacial Prosthodontics
⭐ Overview ⭐
👨⚕️ Dr. Asad Mehmood is a skilled Prosthodontist and Implantologist with an MDS in Maxillofacial Prosthodontics from Rajiv Gandhi University of Health Sciences (RGUHS), Bengaluru. With over 6 years of clinical experience, he specializes in comprehensive prosthetic and implant-based rehabilitation, delivering functional and aesthetic outcomes tailored to patient needs.
His expertise includes smile makeovers, complete denture systems (CPD/BPS), full mouth rehabilitation, and advanced implant solutions such as All-on-4 and All-on-6. He is also proficient in TMD diagnosis and management, along with precise treatment planning and execution for complex cases.
Dr. Mehmood follows an evidence-based, ethical approach to dentistry, focusing on predictable results, patient satisfaction, and long-term oral health. He is known for his systematic workflow, effective patient communication, and commitment to enhancing overall clinical efficiency and practice growth.
📍 Location:Mumbai | Navi Mumbai | Pune
Services Offered
-
⭐ Clinical Expertise
✔ Smile Makeovers
✔ Complete Dentures / CPD / BPS Dentures
✔ All-on-4 / All-on-6 Surgical and Prosthetic Solutions
✔ Full Mouth Rehabilitation (FMR)
✔ TMD Diagnosis & Troubleshooting
✔ Advanced Case Planning & Execution
✔ Evidence-Based & Ethical Clinical Practice
💎 AT A GLANCE
| NAME: Dr. Asad Mehmood |
| QUALIFICATION: BDS, MDS – Maxillofacial Prosthodontics |
| CONTACT INFORMATION: +918095371362 |
| WORKING CITY: Mumbai | Navi Mumbai | Pune |
| DETAILS: |

Name: Dr. Asad Mehmood
Qualification: BDS, MDS – Maxillofacial Prosthodontics
City: Mumbai | Navi Mumbai | Pune
| Details: 💼 ⭐ Visiting Prosthodontist and Implantologist Available for Consultation & Clinic Attachment 👉 Location:- Mumbai | Navi Mumbai | Pune 👉 Contact: WhatsApp: +918095371362 👨⚕️ Dr. Asad Mehmood BDS, MDS – Maxillofacial Prosthodontics 🎓 RGUHS, Bengaluru 🎯 6 Years of Clinical Experience 📍 Available For: Consultation & Long-Term Clinic Attachment 🌍 Preferred Locations: Mumbai | Navi Mumbai | Pune ⭐ Clinical Expertise ✔ Smile Makeovers ✔ Complete Dentures / CPD / BPS Dentures ✔ All-on-4 / All-on-6 Surgical and Prosthetic Solutions ✔ Full Mouth Rehabilitation (FMR) ✔ TMD Diagnosis & Troubleshooting ✔ Advanced Case Planning & Execution ✔ Evidence-Based & Ethical Clinical Practice 🤝 Value Addition to Your Practice ✔ Focus on high-quality treatment with predictable outcomes ✔ Efficient treatment protocols to reduce chair-time ✔ Dedicated long-term patient follow-ups ✔ Strong case communication & chair-side case conversion ✔ Commitment to clinic growth and reputation building 📳 Contact for Consultation / Clinic Visits 📲 Call / WhatsApp: 8095371362 ✨ Kindly save this contact number for future case discussions and specialist consultation visits at your clinic. |

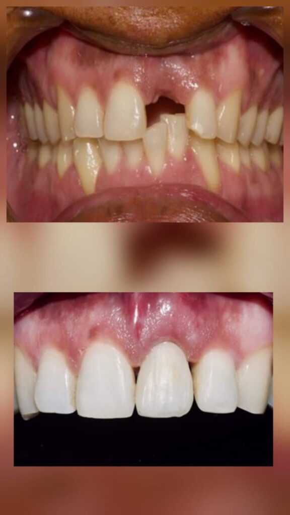
Dental Implant In Aesthetic Zone

Smile Transformation

Smile Makeover
Thank you for visiting my profile.
I am committed to providing quality care and welcome consultations, referrals, and collaborative opportunities.
